你有没有听说最近娱乐圈又热闹起来了?没错,就是那个我们每天都能在茶余饭后讨论的综艺娱乐圈。今天,我就要带你一起吃瓜爆料,看看那些...
你有没有想过,在这个信息爆炸的时代,有时候,一部视频就能瞬间点燃你的心情?今天,我要给你安利一个超级好用的网站——肉肉视频在线观...
采茶舞曲,一曲传唱千年的民间乐章,如今在网络上掀起了一股热潮。随着舞蹈视频的走红,这个古老的舞蹈形式焕发出新的生命力。让我们一起...
想要了解女人怎么怀孕?别急,今天就来给你详细科普一下!一、怀孕前的准备在开始这段旅程之前,先来了解一下怀孕前的准备工作吧!1....
你知道吗?最近网上有个吃瓜群众爆料平台官网火得一塌糊涂!这不,我就迫不及待地来和你聊聊这个话题,看看这个平台到底有什么魔力,能让...
亲爱的读者们,你是否曾在某个闲暇的午后,想要找一部轻松有趣的视频来放松一下呢?今天,就让我带你走进一个充满欢笑和创意的世界——人...
亲爱的游戏迷们,今天我要给你带来一个超级劲爆的消息!那就是关于永劫无间这款热门游戏的最新爆料,而且还是来自一位吃瓜小能手博主的视...
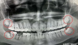
你知道吗?拔智齿这个话题,最近在网络上可是火得一塌糊涂呢!很多人都在好奇,拔智齿到底是个啥样的过程,是不是像传说中的那么恐怖?今...
亲爱的读者们,你是否曾在某个闲暇的午后,被一部精彩的电影或剧集深深吸引?想象如果有一家在线视频平台,它不仅拥有丰富的内容,还被誉...
亲爱的动漫迷们,今天我要和你聊聊一个神秘而又充满魅力的元素——黑色。黑色,这个看似简单却蕴含无限可能的颜色,在动漫的世界里扮演着...